歯並びも噛み合わせも、安心してご相談ください
わかば矯正歯科クリニックでは、長年の経験をもとに、
お一人おひとりの状態に合わせた矯正治療をご提案しています
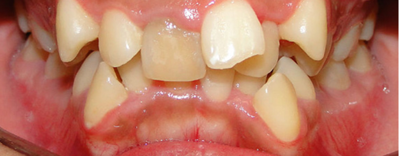
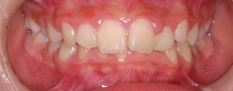
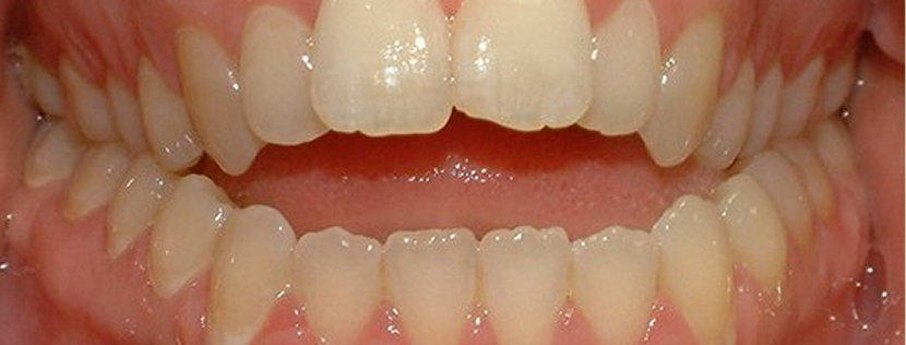
こんなお悩みありませんか? TROUBLE
力を入れている診療 PICKUP MENU

マウスピース矯正
(インビザライン)
INVISALIGN
透明で薄いプラスチックのマウスピースを装着し、段階的に歯を動かして歯並びを整える方法です。
目立ちにくく、食事や歯磨きの際には取り外せるので日常生活への負担が少なく、口腔内を清潔に保ちやすいのも特徴です。
治療計画に基づいて定期的にマウスピースを交換しながら進めていきます。

ワイヤー矯正 Metal Braces
歯の表面にブラケットを装着し、そこにワイヤーを通すことで歯に力をかけて動かしていく、歴史ある矯正方法です。
複雑な歯並びや重度の不正咬合にも対応でき、治療効果が安定している点が特徴です。
最近では透明や目立ちにくい装置もあり、患者様のニーズに合わせた選択が可能です。

部分矯正 Partial Braces
歯列全体ではなく、前歯など一部分のみの歯並びを整える矯正方法です。
全顎矯正に比べて治療期間が短く、費用を抑えられるケースも多いのが魅力です。
すき間や軽度の歯並びの乱れ、矯正後の後戻りなど、適応できる症例であれば負担を軽くしながら改善が期待できます。

小児矯正 Pediatric Orthodontics
乳歯から永久歯への生え変わりの段階で行う矯正治療で、顎や歯の成長を活かしながら歯並びや噛み合わせを整えていきます。
成長を利用した治療ができるため、将来の治療負担を軽減する効果が期待されます。
定期的なチェックと成長に応じた装置の調整で、効率よく歯列を整えていきます。
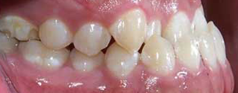
症例を見る
当院の5つの特徴 FEATURE
噛み合わせから、全身のバランスまで
考える矯正治療
当院では歯並びの見た目の変化だけでなく、噛み合わせやお口全体のバランスまで含めて整えることを大切にしています。
噛み合わせの乱れは、食事のしにくさや顎への負担など、日常の使いづらさにつながることもあります。
そのため、口腔内の状態を正確に把握できる機器を用い、歯や顎の位置関係を確認したうえで治療計画を立てています。
機能面にも目を向けた矯正治療を通して、10年後、20年後も「治療を受けてよかった」と感じていただける状態を目指していきます。

- 03 FEATURE
一人ひとりのニーズに合った治療方法をご提案します
開院以来40年近く矯正専門歯科医院として数多くの患者様の治療に向き合ってきました。
こどもから大人まで幅広い年齢層の矯正治療に対応し、症状や生活背景も一人ひとり異なる中で、さまざまな症例を重ねてきた経験があります。
その積み重ねをもとに、画一的な方法ではなく、患者様それぞれの希望や状況に合った治療の進め方をご提案しています。
- 04 FEATURE
歯を抜く前に、できる選択肢をすべて考えます
矯正治療に不安を感じる理由のひとつが「健康な歯を抜くこと」ではないでしょうか。
当院では、歯を後方に移動させたり、歯の傾斜を改善するなどして、歯を極力抜かない矯正歯科治療を行っています。
結果として抜歯が必要になる場合も、その理由と見通しを丁寧に共有します。
歯を抜く・抜かないを含めて、納得できる方法を一緒に考えてまいります。
- 05 FEATURE
無理なく通い続けられる立地環境
矯正治療は、一定期間にわたって通院が必要になるからこそ、「通いやすさ」は大切な条件のひとつです。
当院は熊本市電A系統「通町筋」「水道町」電停から徒歩約3分と、電車やバスでの通院がしやすい場所にあります。
学校帰りやお仕事の合間にも立ち寄りやすく、近隣にはコインパーキングもあるためお車での通院にも対応しています。
無理なく通い続けられる環境を整え、治療を最後まで支えていきます。

ご挨拶 GREETING

治療後の人生まで見据えた矯正治療を
熊本市中央区にある、わかば矯正歯科クリニック院長の山本資晴です。
これまで多くの患者様と向き合う中で、常に大切にしてきたのは
「治療が終わったあとも長く安心して過ごせるか」という点です。
矯正治療は見た目を整えるだけでなく、噛み合わせやお口全体のバランスにも関わります。当院では、一人ひとりの状態を丁寧に確認し、将来を見据えた治療をご提案しています。
矯正を通じて、日々の生活を前向きに過ごしていただけるようサポートしてまいります。
何か気になることがあれば遠慮なくご相談ください。
わかば矯正歯科クリニック
- 山本資晴
- Motoharu Yamamoto
クリニック情報 INFORMATION
〒860-0801 熊本県熊本市中央区安政町2-26川﨑歯科ビル2F
※受付は17:30までです。
※第3日曜日は診療いたします。
採用情報 RECRUIT
当院では、患者様と共に成長することを大切にしています。未経験でも安心して働ける環境が整っており、一人ひとりのペースで成長をサポートします。あなたのスキルを活かし、一緒に働きませんか?
採用情報
お問い合わせ CONTACT
まずはお気軽に相談から。 あなたの笑顔をサポートします。
電話での問い合わせはこちらから












